Kistik fibrozis hastalığı belirtileri neler? Kistik fibrozis hastalığı nedir, tedavisi var mı?
Melih Kalkan hastalığı neydi sorusunun cevabı gündemdeki yerini aldı. Unlost adıyla da bilinen 14 yaşındaki sevilen yayıncı hastalığına yenik düştü. Melih Kalkan'ın ölüm haberinin ardından sevenleri hastalığın detaylarını araştırmaya başladı. Peki Melih Kalkan hastalığı neydi? Kistik fibrozis hastalığı nedir, tedavisi var mı?

Cantuğ Özsoy ile yaptığı yayınlarla ünlenen Melih Kalkan'ın ölüm nedeni araştırılıyor. 14 yaşındaki sevilen yayıncı Melih Kalkan'ın ölüm haberi üzerine hastalığı ile ilgili detaylar merak konusu oldu. Genç yayıncının sahip olduğu kistik fibrozis hastalığının sebepleri ve tedavi yöntemleri neler? Kistik fibrozis hastalığı nedir?

HASTALIĞINA YENİK DÜŞTÜ
Cantuğ Özsoy ile yaptığı yayınlardan ünlenen küçük oyuncu Melih Kalkan, kistik fibrozis hastalığına yenik düşerek hayata gözlerini yumdu. Melih Kalkan'ın ani ölümü sevenlerini yasa boğdu. Acı haberi Cantuğ Özsoy sosyal medya hesabından duyurdu. Özsoy açıklamasında "Biricik kardeşimiz Melih ne yazık ki kistik fibrozis hastalığına yenik düştü, melek oldu.

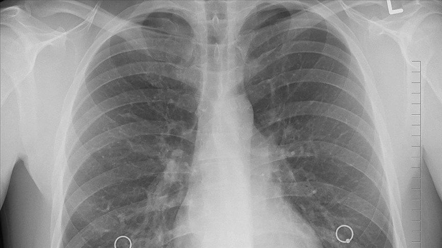
KİSTİK FİBROZİS HASTALIĞI NEDİR?
Kistik fibrozis (KF), doğumdan itibaren solunum sistemi, sindirim sistemi ve üreme sistemininde yer alan mukus ve ter bezlerini etkileyen kalıtsal bir hastalıktır. Kistik Fibrozis özellikle, akciğerler, pankreas, karaciğer, bağırsaklar, sinüsler ve cinsel organların işlevini önemli derecede etkilemektedir.

Kistik fibrozis hastalığına sahip kişilerde, vücuttaki yer alan mukus kalınlaşır ve yapışkan bir hal alır. Bu durumda kişinin nefes almada zorlanmasına neden olur ve ciddi bir akciğer enfeksiyonu gelişme olasılığını artırır.

Kistik fibrozis, besinlerin sindirimi için gerekli olan enzimlerin salgılandığı pankreası da etkiler ve bu enzimlerin salınımına engel olur. Sindirim enzimleri ince bağırsaklara ulaşamadıklarında, yiyecekler düzgün bir şekilde parçalanamaz ve besinler emilmez. Kistik fibrozisli kişilerin beslenme bozuklukları, karın ağrısı ve şiddetli kabızlık gibi yakınmaları olabilir.











