İnanılmaz! Doktorları bile hayrete düşürdü: 66 yıldır iç organları tersine çalışıyor
Yaşlı kadın bir süredir yaşadığı mide rahatsızlığından dolayı hastaneye gitti ve tıp dünyasını şoke eden bir gerçek ortaya çıktı. Dünyada ve Türkiye'de nadir olarak görülen olay doktorları da hayrete düşürdü. Hastanın da şaşkına döndüğü olay "Bu nasıl mümkün olabilir?" sorusunu akıllara getirdi.

Bazen ufak ağrıların aslında ne denli büyük sebeplerden kaynaklı olduğunu görüyor ve duyuyoruz. Bunun bir örneği yaşandı. Yaşlı kadın çektiği ağrının sebebini duyunca inanamadı.

Öyle ki tıp dünyası bile bu gerçek karşısında şoke oldu. Yaşlı kadının tüm hayatı boyunca böyle bir soruna sahip olduğu durumu duyan gören herkesi şaşkına çevirdi.

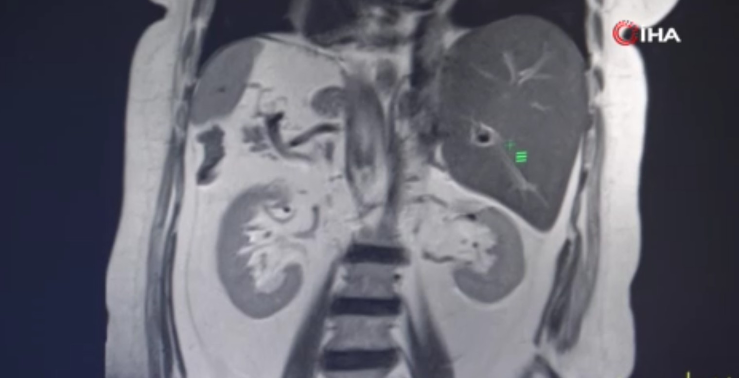
O hayrete düşüren olay Türkiye'de Gaziantep'te yaşandı. Yıllarca "kalbim sağda atıyor" diyen kadın hastaneye gidince şaşkına döndü çünkü iç organlarının yerinin ters olduğu ortaya çıktı.

Son olarak Gaziantep Şehir Hastanesi'ne başvuran Evin Aslan'ın hastanede yapılan tetkikler sonucunda iç organlarının tamamının ters tarafta olduğu anlaşıldı. Kalp, mide, dalağı, göğüs ve karın bölgesinin sağında, karaciğer ve safra kesesinin ise solda olduğunu öğrenen Aslan, hayatının şokunu yaşadı.










