Felç riski COVID-19 aşısıyla artıyor mu? 100 binden fazla kişide görüldü: 17 ay hücrelerde birikerek...
Japonya'da yapılan bir araştırma, COVID-19 aşısı olduktan sonra beyin damarlarında bulunan Spike proteininin 17 aya kadar kalabileceğini iddia ediyor. Bu durum bazı felç vakalarının bu maddeyle ilişkili olabileceğini düşündürüyor. Bu bulgular felç riskinin COVID-19 aşısıyla artıp artmadığı konusunda önemli bir tartışma yaratıyor. Peki felç riski COVID-19 aşısıyla artıyor mu?

Japonya'da bulunan Sapporo Teishinkai Hastanesi İnme Merkezi'nde yapılan yeni bir araştırma, mRNA aşılarının ardından beyindeki damar yapılarında Spike proteininin uzun süre kalabildiğini ortaya koydu. Bu bulgu, felç türlerinin ve beyin kanamalarının Spike proteininin kalıcılığı ile ilişkili olabileceğini işaret ediyor.

Çalışmanın baş yazarı Dr. Nakao Ota ve ekibi, 2025 yılı Haziran sayısında Journal of Clinical Neuroscience dergisinde yayımlanacak araştırmalarının önemli sonuçlarını paylaştı. Araştırmaya, Tokyo, Kyoto ve Sapporo'daki üniversitelerden birçok uzman da katkı sağladı.

Spike Proteini Beyinde Uzun Süre Kalabiliyor
Araştırma, aşı sonrası hastaların %43,8'inde Spike proteininin beyin damarlarının iç yüzeyinde (intima tabakası) bulunduğunu ortaya koydu. Bazı hastalarda ise Spike proteininin varlığı, aşılamadan 17 ay sonra bile devam etti. Bu durum, aşılama sonrası bazı nörolojik sorunların ortaya çıkabileceğini düşündürüyor.
Spike Proteini nedir: Spike proteini, COVID-19'a yol açan SARS-CoV-2 virüsünün yüzeyinde bulunan ve virüsün hücrelere girmesini sağlayan bir proteindir.
📌Fotoğraf altı yazısı:Çalışma Vakası 2: İmmünohistokimyasal Boyama Sonuçları
75 yaşında bir erkek hasta, putaminal hemoraji ile başvurdu. Hastanın dört aşılama öyküsü vardı, ancak COVID-19 enfeksiyonu öyküsü bulunmamaktadır.
A: CD3 için immünohistokimyasal boyama, belirgin CD3 pozitif hücre infiltrasyonu olmadığını göstermektedir.
B: CD4 için immünohistokimyasal boyama, belirgin CD4 pozitif hücre infiltrasyonu olmadığını göstermektedir.
C: CD8 için immünohistokimyasal boyama, belirgin CD8 pozitif hücre infiltrasyonu olmadığını göstermektedir.
D: CD20 için immünohistokimyasal boyama, belirgin infiltrasyon olmadığını göstermektedir.
E: CD38 için immünohistokimyasal boyama, belirgin infiltrasyon olmadığını göstermektedir.
F: CD68 için immünohistokimyasal boyama, intima içinde CD68 pozitif hücre infiltrasyonu göstermektedir.

Kronik İltihap ve Felç Riski
Araştırmada ayrıca, Spike-pozitif damarlarda bağışıklık hücrelerinin yoğunlaştığı gözlemlendi. Bu durum vücutta kronik inflamasyona yol açabileceğini ve zamanla felç gibi ciddi sağlık sorunlarına neden olabileceğini gösteriyor.
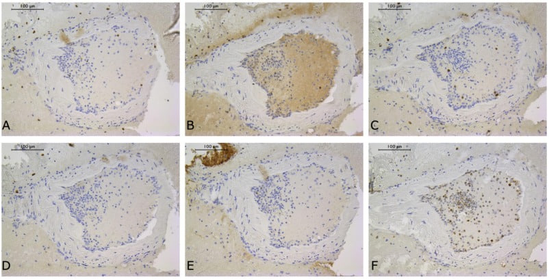
📌Fotoğraf altı yazısı:Çalışma Vakası 16: İmmünohistokimyasal Boyama Sonuçları
88 yaşında bir kadın hasta, subkortikal kanama ile başvurdu. Hastanın yedi kez aşılanma öyküsü vardı, ancak COVID-19 enfeksiyonu öyküsü bulunmamaktadır.
A: CD3 için immünohistokimyasal boyama, CD3 pozitif hücre infiltrasyonunu göstermektedir.
B: CD4 için immünohistokimyasal boyama, CD4 pozitif hücre infiltrasyonunu göstermektedir.
C: CD8 için immünohistokimyasal boyama, CD8 pozitif hücre infiltrasyonunu göstermektedir.
D: CD20 için immünohistokimyasal boyama, belirgin bir infiltrasyon göstermemektedir.
E: CD38 için immünohistokimyasal boyama, belirgin bir infiltrasyon göstermemektedir.
F: CD68 için immünohistokimyasal boyama, intima içinde CD68 pozitif hücre infiltrasyonunu göstermektedir.

Felç Vakaları Artıyor: "Nadir" denilen Felç Vakalarının Artışı
COVID-19 mRNA aşıları sonrası felç vakalarının sayısının arttığına dair bulgular dikkat çekiyor. Özellikle ABD'de 100 binin üzerinde felç vakası kaydedilmiş durumda. Daha önce FDA tarafından yapılan bir araştırma, grip ve mRNA aşılarının aynı anda yapılmasının felç riskini artırabileceğini göstermişti.
Kaynak:FDA & CDC – SafeRx Projesi, MedRxiv, 15 Ekim 2023
"Evaluation of Stroke Risk Following COVID-19 mRNA Bivalent Vaccines Among U.S. Adults Aged ≥65 Years"






