Koronavirüs ciğerlere inerse ne olur? Koronavirüs akciğerleri nasıl etkiliyor? Virüs ciğerleri bu hale getiriyor
Koronavirüs ciğerlere inerse ne olur? Koronavirüs akciğerleri nasıl etkiliyor? İngiltere'de geliştirilen yeni bir manyetik görüntüleme tekniği ile, Covid-19 teşhisi konan hastaların akciğerlerinde teşhisten üç ay sonra bile bazı anormallikler tespit edildi.

Oxford Üniversitesi'nde 10 hasta üzerinde yapılan araştırmada, yeni bir tarama tekniği kullanılarak, normal taramalarda tespit edilemeyen akciğer hasarlarına rastlandı.
Bu yeni tarz EMAR'da (manyetik rezönans görüntüleme) ksenon (zenon) gazı kullanılarak akciğerdeki hasarın kapsamı tespit ediliyor.

Akciğer uzmanları, uzun vadeli hasarı ortaya koyan bir testin Covid hastaları için çok önemli olduğunu söylüyor.
Bu teknikte, sırasında hastadan ksenon gazını içine çekmesi isteniyor. Araştırma ekibinin başındaki Prof. Fergus Gleeson, bu tekniği 19 ila 69 yaş arasındaki 10 hastada denedi.

Bunların sekizi, yoğun bakıma kaldırılmamış ve solunum cihazına bağlanmamış olmalarına rağmen, koronavirüse yakalanmalarının üzerinden üç ay geçtikten sonra bile nefes darlığı ve yorgunluktan şikayet ediyordu. Normal taramalarda akciğerlerinde herhangi bir soruna rastlanmamıştı.
Ksenon gazıyla yapılan taramalarda ise bu hastalarda akciğer hasarı belirtilerine rastlandı. Kana rahat oksijen akışı olmayan bölgeler tespit edildi.
Gleeson, taramalar sonucunda hastalarda ortaya çıkan hasar boyutunun beklediklerinden fazla olduğunu kaydetti.

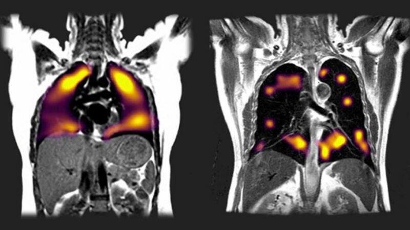
Solda sağlıklı akciğer, sağda ise Covid nedeniyle hasarlanmış akciğer görülüyor. Sağdaki daha büyük siyah bölgeler, oksijenin yeterince kana aktarılamadığını gösteriyor.

Prof. Gleeson, koronavirüse yakalanmış olduğu halde ciddi belirti göstermeyen ve hastaneye kaldırılmayan farklı yaş gruplarından 100 kişi ile denemeler yapmayı planlıyor.
Bu hastalarda akciğer hasarı meydana gelip gelmediğine ve böyle bir hasar oluşmuşsa bunun kalıcı mı olduğuna yoksa zamanla iyileşen bir özellik gösterip göstermediğine bakılacak.

60 yaş üzeri hastalarda ağır hastalık ve ölüm riski büyük ölçüde artıyor. Fakat denemelerde akciğer hasarının farklı yaş gruplarında ve hastanede tedaviye ihtiyaç duymayanlarda bile tespit edilmesi halinde "hedeflerin gözden geçirilmesi gerekecek".
BBC Türkçe'de ye alan habere göre; Gleeson, ksenon gazıyla saptanan akciğer hasarının, koronavirüsün uzun vadeli etkisini ifade eden ve uzatmalı Covid olarak adlandırılan sorunun kaynağı olabileceğini söylüyor.
Tarama tekniği Sheffield Üniversitesi'nden Prof. James Wild'ın başkanlık ettiği bir ekip tarafından geliştirilmişti. Wild, bu tekniği Covid-19'dan kaynaklanan akciğer hasarını ve etkilerini gösterecek "biricik" yöntem olarak niteledi.
