Doktorlar bile hamile sandı! Çıkanlara kimse inanamadı...
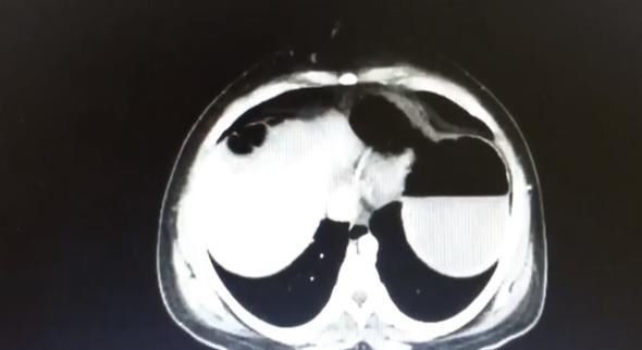
Gallerli 28 yaşındaki Keely Favell'in karnı gün geçtikçe büyüme başladı. Görenler ve bazı doktorlar kadının hamile olduğunu düşünüyordu ancak gerçek çok farklı çıktı.

Favell "Bir sorun olduğunu fark edemedim, göbek bağlıyorum diye düşündüm." diyerek durumunu açıkladı.

Keely Favell "Bana bakan herkes dokuz aylık hamile olduğumu düşünüyordu. Bana hep doğumun ne zaman olduğunu soruyorlardı." diyor.

Defalarca negatif çıkan hamilelik testlerine rağmen, doktorlar Favell'in giderek büyüyen karnının hamilelikten kaynaklandığını düşündü.






















