Hastalığını önceden hissetti, hayatı kurtuldu: Tıp dünyasını şaşırtan teşhis hikayesi
İngiltere'de yaşayan bir kadın, zihninde beliren güçlü bir iç uyarı sayesinde beynindeki tümörün yerini ve tedavi olması gereken hastaneyi adeta önceden fark etti. Başta psikolojik bir sorun sanılan durum, yapılan taramada menenjiyom tümörünün ortaya çıkmasıyla tıp dünyasında şaşkınlık yarattı.

Tıp dünyası zaman zaman bilim insanlarını bile hayrete düşüren vakalarla karşılaşabiliyor. Bunlardan biri de 1984 yılında İngiltere'de yaşandı. Bir kadının yaşadığı sıra dışı deneyim, yıllar sonra bilimsel literatüre geçen dikkat çekici bir olay olarak kayıtlara girdi.

HİSLE BAŞLAYAN ŞAŞIRTAN HİKAYE
Her şey kadının zihninde yoğun bir rahatsızlık hissi oluşmasıyla başladı. İçsel bir uyarı gibi hissettiği bu durum, ona vücudunda bir şeylerin yolunda gitmediğini düşündürüyordu. Bu his giderek belirginleşince kadın, akıl sağlığından endişe ederek bir uzmana başvurdu.

PSİKOLOJİK SORUN ŞÜPHESİYLE BAŞLAYAN SÜREÇ
Kadın, psikiyatrist Ikechukwu Obialo Azuonye ile görüşmeye gitti. Başlangıçta durum psikolojik bir rahatsızlık olarak değerlendirildi. Kadına sakinleştirici ilaçlar verildi ve tedavi süreci başlatıldı. İlaçların etkisiyle içsel huzursuzluk hissi bir süre ortadan kalktı. Kadın bu dönemde kısa bir tatil yaptı. Ancak tatil sırasında zihnindeki güçlü uyarı yeniden ortaya çıktı. Bu kez çok daha net bir şekilde sağlık kontrolü yaptırması gerektiğini hissediyordu.

Kadının zihninde beliren güçlü sezgi, onu Londra'daki büyük bir hastaneye yönlendirdi. İlginç olan ise kadının gittiği yerin gerçekten bir hastanenin tomografi bölümü olmasıydı. Yaşadığı endişe ve yoğun rahatsızlık hissi üzerine doktoru Azuonye, hastayı rahatlatmak amacıyla beyin görüntülemesi yapılmasını istedi. Başlangıçta bu talep çok gerekli görülmese de inceleme kabul edildi.

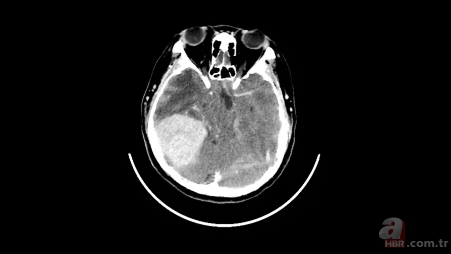
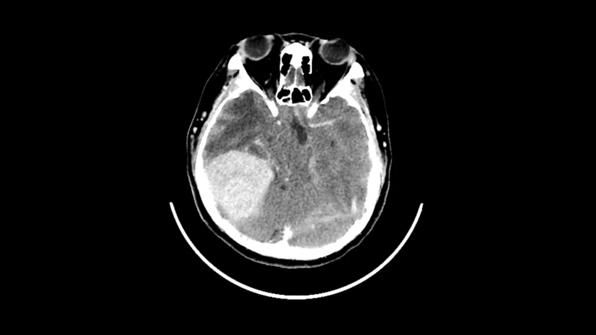
TARAMA SONUCU DOKTORLARI ŞAŞIRTTI
Yapılan beyin taraması tıp ekibini şaşkına çevirdi. Görüntülerde kadının beyninde menenjiyom adı verilen oldukça büyük bir tümör bulunduğu ortaya çıktı. Daha da dikkat çekici olan ise kadının bu büyüklükteki bir kitleye rağmen şiddetli baş ağrısı, görme kaybı veya nörolojik bozukluk gibi tipik belirtiler göstermemiş olmasıydı.
Buna rağmen kadının zihninde gelişen güçlü uyarı hissi onu doğru zamanda hastaneye yönlendirmişti.



